日本口腔インプラント学会
専門医が
”選び抜いた”品質
唯一無二の選択Limited Implant限定300本
限定300本
無くなり次第終了
月額2,459円
から治療が可能
高品質
韓国製
インプラント
日本口腔インプラント学会
専門医が
”選び抜いた”品質
限定300本
無くなり次第終了
月額2,459円
から治療が可能
高品質
韓国製
インプラント
韓国 —— 世界が認める“インプラント先進国”。
審美要求の高い市場で選ばれ続けている
BIOTEM EXCEEL BLを、
当院が直接契約により導入しました。
Limited Implant EXCEEL BL
基本価格
295,000円(税抜)〜
※324,500円(税込)
特典
インプラント相談無料!
インプラントが初めての方でも安心して治療を受けられるように、親身に相談を行います。不安や疑問を解消してから治療に臨みますのでご安心ください。
医療費控除により治療費が
最大45%
お安くなります!
所得によって異なります
デンタルローンは最大120回までの
分割にも対応しています
「安さより、信頼で選びたい」
そんなあなたのためのプランです
韓国のインプラント普及率は世界ランキング1位。
競争が激しく、クオリティの低い製品はすぐに淘汰されます。
その中で選ばれ続けているのが、BIOTEM EXCEEL BL
欧州CE / ISO / 米国FDA など世界基準の厳しい認証をクリア
美容領域でも使用される審美性 × 強度設計
即時荷重・All-on-4・GBRにも対応できるフルスペック設計
審美への要求が高い美容大国で支持されている

ワンピースインプラントはアバットメント角度調整や精密補綴ができず
適合性・清掃性が低く、
支持力不足のため本数が増えて負担も大きくなります。
さらにセメント固定のみでトラブル対応が難しく、長期的安定性にも疑問があるとされています。
ワンピース型の“応用が効かない低価格インプラント”とは違います。
下記の条件をすべて満たし、20年以上選ばれ続けているメーカーは多くありません。
当院が採用する理由はただひとつ。
患者さんに胸を張っておすすめできる品質であるだからです
インプラントを骨の深い位置に入れる設計で、前歯など“見た目が大事な場所”で特に有利。
表面が特殊加工されており、骨と早くくっつく。そのため初期固定が得やすく、治療が安定しやすい。
インプラントが先細りなので、骨が少ないケースでも入れやすく、負担も少ない。
All-on-4、GBR、即時荷重など、さまざまな治療プランに柔軟に対応できる。
積み重ねた実績に、
専門医の確かな技術を
当法人の理事長、永田達也は、
国内最大のインプラント学会で学術的な評価を受け、
長年の臨床で数多くのインプラントを経過観察してきました。
その中で辿り着いた答えが、今回導入するこのインプラントです。
学会で認められた品質を、専門医の技術で。
それが、私たちが提供する“安心のかたち”です。
01
どの担当医でも専門医が必ず治療計画をチェックし、必要時は手術にも参加します。
誰が担当しても安心できる体制を整えています。
02
全員が日本口腔インプラント学会所属、鶴見大学での研修を修了。 最新の技術と知識を学び続けることを義務化しています。
03
治療後のケアまで見据え、医師と専門衛生士が連携して長期予後を守ります。
10年、20年と使い続けられるインプラントを支えます。
04
学会認定の専門衛生士が、噛み合わせや清掃状態を定期的にチェック。 あなたのインプラントを大切な財産として守り続けます。
05
手術後も、医師と衛生士が生涯にわたりサポート。
これからの人生をしっかり噛んで過ごせるよう支えます。

01
インプラント症例が豊富

02
CT撮影からシミュレーション、
手術、最終補綴まで一貫管理

03
インプラントオペの
設備が充実

04
2人以上の経験豊富なDrが
インプラントプランニングを担当

05
日本口腔インプラント学会
専門医が
全て監修
| Limited Implant EXCEEL BL |
|---|
| 295,000円 (税抜)〜 |
※324,500円(税込)
GBR /ブロック骨移植/スプリットクレスト/サイナスリフト/即時荷重/静脈内鎮静
LINEで相談すれば、あなたのケースの費用がすぐに分かります。
STEP01
カウンセリング
インプラントが初めての方でも安心して治療を受けられるように、親身にカウンセリングを行います。
不安や疑問を解消してから治療に臨みますのでご安心ください。
STEP02
CT撮影・診断(骨量や位置の確認)
実際にお口の中を拝見し、必要に応じて、歯や顎の状態を確認するためにCT検査を行います。インプラント治療成功において、事前の診察・診断は何よりも重要です。
STEP03
骨造成・移植処置(必要に応じて実施)
骨が細い・低い場合、インプラントが安定せず脱落することがあります。これを防ぐため、骨移植や人工材料で骨のボリュームを増やす処置を行うことがあります。
STEP04
インプラント埋入手術
インプラントを顎の骨に埋める手術を行います。麻酔をして行うため、痛みの心配はありませんが、怖い方は静脈内鎮静法にて更に少ない痛みで手術を行うことも可能です。
STEP05
治癒・骨結合期間(2〜6ヶ月)
インプラントは骨と大変なじみの良い材料でつくられているために、骨と強くくっつきます。ただしインプラントで咬んでも大丈夫になるまでは骨の治りを待つ必要があります。元々の骨の強さや埋められたインプラントの種類によって待つ期間は異なります。
STEP06
仮歯→最終の歯を装着
完成した被せ物を実際に装着し、噛み合わせやフィット感を丁寧に確認します。必要に応じて微調整を行い、見た目も機能面も満足いただける仕上がりに整えます。
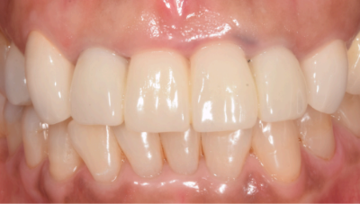
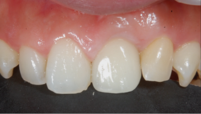
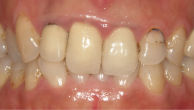
CASE 01
BEFORE
AFTER
| 治療内容 | 左上1本インプラント治療 |
|---|---|
| 治療期間 | 4ヶ月 |
| 費用 | 295,000円税抜(324,500円税込) |
| リスクや副作用 | 手術後の痛み、腫れ、インプラント周囲炎 |
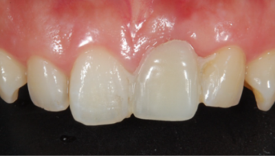
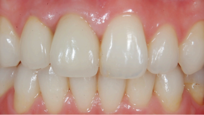
CASE 02
BEFORE
AFTER
| 治療内容 | 2本のインプラントを使用して前歯4本を治療 |
|---|---|
| 治療期間 | 5ヶ月 |
| 費用 | 1,312,000円税抜(1,443,200円税込) |
| リスクや副作用 | 手術後の痛み、腫れ、インプラント周囲炎 |
CASE 03
BEFORE
AFTER
| 治療内容 | 右上前歯1本インプラント治療 |
|---|---|
| 治療期間 | 4ヶ月 |
| 費用 | 398,000円税抜(437,800円税込) (前歯のセラミックをグレードアップ) |
| リスクや副作用 | 手術後の痛み、腫れ、インプラント周囲炎 |
あなたに合った
インプラント治療をチェック!
いくつかの質問に答えることで、
あなたに合った治療の目安がわかります。
カウンセリング時の参考にご活用ください。
※表示価格は税抜価格になります
歯がない部分の本数歯がない部分は
何本ですか?
※2本以上の方はお問い合わせください
麻酔法手術中の快適さを
選びましょう
クラウン種類見た目と素材を
選びましょう
手術後の仮歯治療中の見た目や
咬み合わせを保つために
歯茎の形や噛み合わせを確認するリハーサルの歯美しい歯茎を形成するために
0
円実際の治療内容により変動します。
高品質インプラントが今だけ特別価格で受けられます
ご予約が埋まり次第、特別キャンペーンは終了となります